治療概述
                    腦部腫瘤加馬刀放射線治療
U型至B型,到最新配備全自動的 C 型及Perfexion型加馬刀,其基本原理都是以201(或192)顆鈷60 (cobalt-60 )放射源,以非常精準的方法,將鈷60放射源的放射能量,集中於病灶之上。這種特殊的方法,可以使得患病的區域接受高強度的放射劑量而達到很好的治療效果,但是因為分成 201(或192)個放射線,所以頭顱其他部分所受到的放射劑量被分散,其他部分所受到的放射劑量變成極為少量。再加上最新的電腦系統,可以有效的保護某些特別重要的構造(譬如視神經及腦幹部位) ,更可以減少術後引起之後遺症。
加馬刀手術是以精密的影像檢查 (磁振造影掃描 MRI,電腦斷層掃描CT,血管攝影檢查Angiogram),做為手術計畫的依據,再以先進的電腦程式設計,精準的設定放射線治療範圍,可以不傷及周圍正常腦組織,卻可以有效的治療疾病區 ( 如腦瘤、血管畸形等 ) 。因為有上述這些高科技的設備,所以加馬刀手術是一個相當安全的治療方式,又可以避免傳統開顱手術的危險及不適,所以已經在神經外科手術中,佔有非常重要的地位。
 
適應症
良性腫瘤 : 聽神經瘤或三叉神經瘤、腦膜瘤、腦下垂體瘤、顱咽瘤
惡性腫瘤 : 星狀細胞瘤、轉移性腦瘤
功能性疾病 : 三叉神經痛
血管性疾病 : 動靜脈畸形、動靜脈廔管、海綿狀血管瘤
 
治療特色
* 不流血,無開刀傷痕。
* 低風險,不需住加護病房,復原快,可節省醫療資源以及減低家屬術後照護的負擔。
* 只須局部麻醉,不用全身麻醉。但嬰幼兒童病患,則需要全身麻醉以配合治療。
* 加馬刀手術後,隔日即可出院,可立即恢復日常生活作息或上班工作。
* 目前醫學文獻的長期追蹤報告,對於許多疾病有很好的治療效果。
 
治療流程
* 手術前一天下午: 病患辦理住院,並接受手術前例行檢查 (身體檢查,血液查,胸部X光片檢查,心電圖檢查等)。
* 手術當天早上: 病患由病房送至加馬刀治療中心,先安置頭部立體定位頭架,再接受影像學檢查(磁振造影掃瞄MRI或電腦斷層掃瞄CT或血管攝影檢查Angiogram),檢查完畢後,再送回加馬刀治療中心。由治療小組利用影像學檢查結果,以精密的電腦程式 (Gamma Plan),設計完整的放射治療範圍及劑量。病患接受加馬刀放射手術治療。
* 治療結束後: 醫師移除病患頭部之立體定位頭架,並送回病房觀察休息。
* 手術隔天: 經醫師訪視沒有問題後,即可出院。
* 門診追蹤階段: 病患接受加馬刀放射治療後,醫師會安排門診繼續追蹤。固定之門診追蹤,以影像學檢查了解疾病治療後之變化。
 
風險與合併症
依文獻統計,此種治療雖安全性較高,但約有百分之三的病患可能引起局部腦水腫,有些病患亦可能產生神經損傷之症狀(如意識障礙、視力障礙、語言障礙、半身不遂、顱神經麻痺等) ,但發生率極低。有些病患可能引起頭痛、頭暈等症狀,但大部份為暫時性,且可用藥物緩解。
 
相關照片/影片
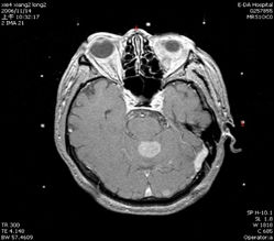
聽神經瘤
手術前
       
 
手術後

 
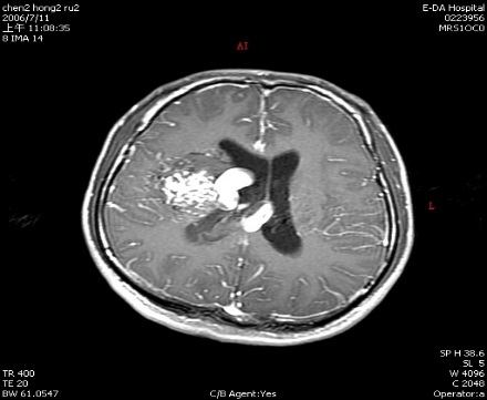
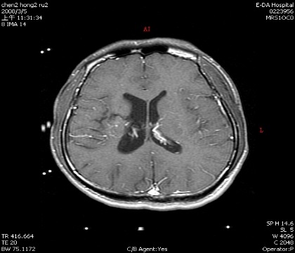
動靜脈畸形
手術前 

手術後

轉移性腦瘤
手術前

手術後

 
 
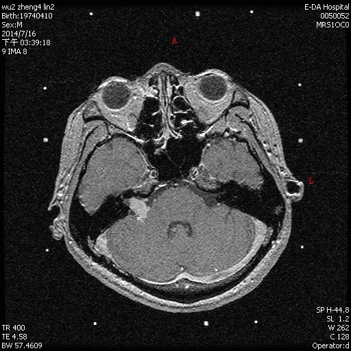
三叉神經痛

備註
撰寫者:
梁正隆國際長、鍾美琴護理師