治療概述
                    疼痛治療(脊椎成型術)
疼痛治療(脊椎成型術)
脊椎成型術起源於法國, 近幾年來得到美國及台灣醫界廣泛認同, 方法是使用一支骨髓穿刺的針 (10或11號), 由有經驗的醫師操作, 在動態X光攝影監控下, 刺入受傷的脊椎骨, 然後灌入骨水泥,;雖然有些病人穿背架吃止痛藥治療也會改善疼痛,不過病人須忍受疼痛達數禮拜之久,而且吃藥副作用大,不像脊椎成型術, 可以在1天之內就發揮效果立即止痛,而且病人若能合作, 此法局部或全身麻醉皆可施行。
適應症
骨質疏鬆引起的脊椎壓迫性骨折,及惡性轉移腫瘤引起之脊椎病理性骨折
治療特色
此法沒有刀口。不需開刀、可以減輕轉移性腫瘤引起病理壓迫性骨折引起的疼痛,除了減輕疼痛,也可以減少止痛藥的需求量,改善疼痛病患的活動量,減少臥床
治療流程
可以在輕度麻醉下或局部麻醉下以一支骨髓穿刺針,由有經驗的醫師操作,在動態X光攝影監控下,刺入脊椎骨, 然後灌注骨水泥
風險與合併症
骨水泥漏出,有時會壓迫神經. 肺血管栓塞, 造成肺栓塞. 感染。可以選擇自費撐開球(kyphoplasty)或使用高黏度水泥減少併發症
相關影片/照片
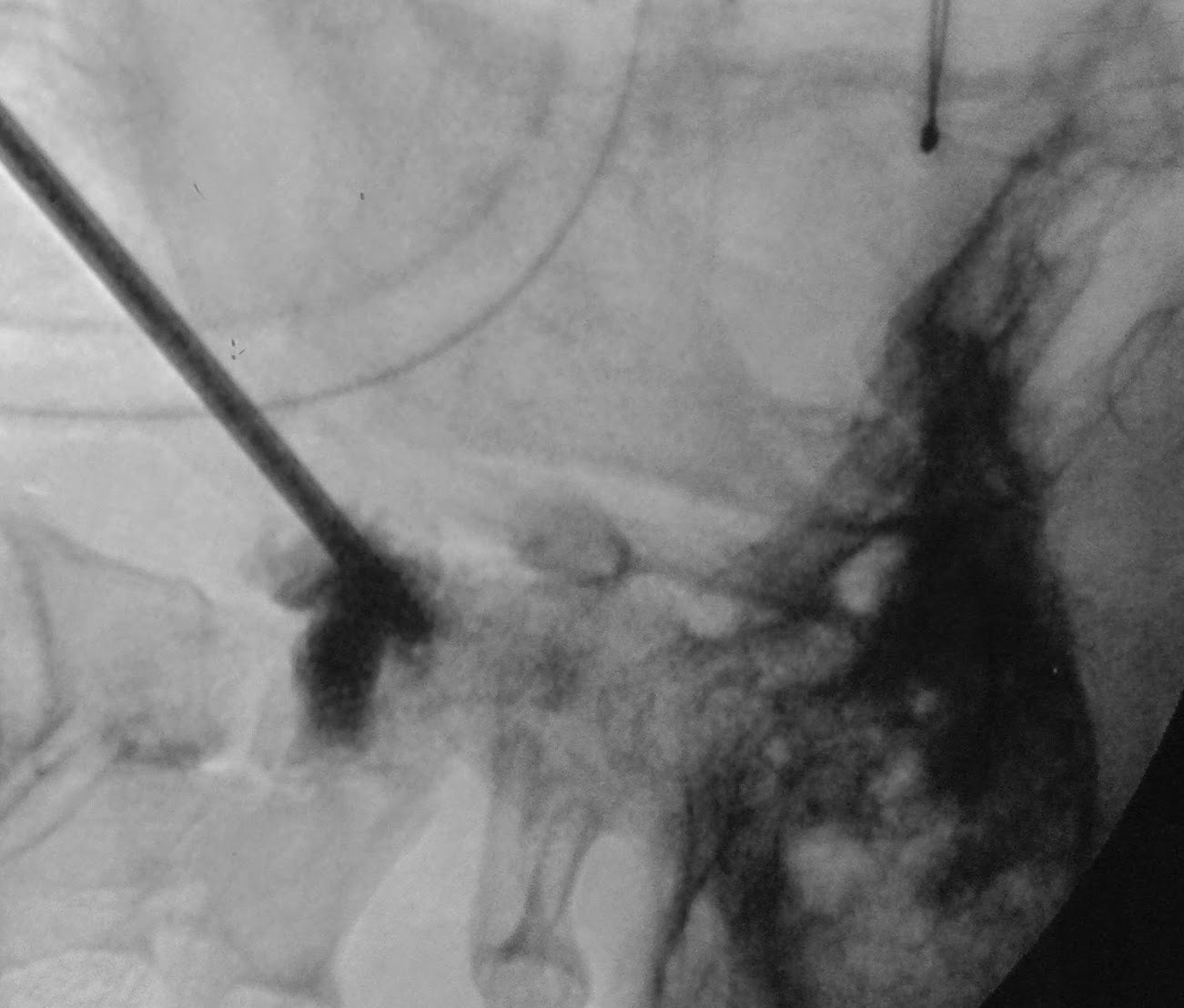
圖一: 穿刺針刺入頸椎骨折的脊椎骨

圖二: 灌入骨水泥(黑色顯影處)
.jpg)
 
備註
可至義大醫院神經外科門診洽詢
注意事項:
以上提供之醫療諮詢只是通則,針對病人提供個人化醫療會依病人病情、年齡、體力等,作綜合判斷、建議從而安排妥善的治療計畫。
 
撰寫者: 李梁柏儔醫師