治療概述
                    周邊動脈阻塞性疾病
本院周邊血管介入治療團隊目前是南台灣治療案例及成功率居前矛的治療中心,每年執行超過300例下肢血管的介入性治療,成功率超過95%。
動脈粥樣硬化(atherosclerosis)是中老年人最常見的疾病,一般來說全身的血管皆有可能會發生動脈粥樣硬化而導致動脈狹窄或阻塞而產生臨床疾病,
比較為人所知的有冠狀動脈阻塞產生狹心症或心肌梗塞,大腦血管阻塞產生缺血性腦中風,然而在身體所有血管中,下肢血管是離心臟最遠的血管,也很容易產生動脈粥樣硬化而使肢體出現慢性或急性缺血症狀,稱為下肢周邊血管阻塞疾病。下肢周邊血管阻塞疾病的盛行率其實並不低。 根據研究顯示下肢周邊血管阻塞疾病的盛行率隨年齡增加而增加,40-59歲為3%,40-59歲為8%,大於70歲為19%。因為一般民眾不暸解下肢周邊血管阻塞疾病,常會延誤診斷或治療,錯失治療的黃金時期而導致必需截肢的悲劇。
大部份下肢周邊血管阻塞疾病的病患是無症狀,只有15%病人會有典型的間歇性跛行症狀。所謂的間歇性跛行是一種病患的自覺症狀,一般來說病人步行一小段距離後(大約100~200公尺),病患就會感覺到下肢疼痛,稍做休息後(大約2~5分鐘)又可以繼續行走,這就是間歇性跛行。另外約有1-2%的病人會有危急性肢體缺血,包括缺血休息性疼痛,下肢傷口潰瘍,組織發紺壞死,如果處理不當,很容易就會導致截肢。 下肢周邊血管阻塞疾病與其它血管疾病一樣好發於糖尿病患、慢性腎病患、高血壓病患、高血脂病患、吸煙病患及年齡大於50歲之病患。
 
適應症
診斷
病史詢問及理學檢查可提供重要的診斷線索,首先可檢查脈搏改變和血流性雜音,其次可觀察皮膚顏色,毛髮及指甲的改變,我們也可安排節段性壓力測定和脈搏容積描記及測量踝臂壓力比(ABI)來篩檢血管阻塞。如果懷疑有血管阻塞的可能,可進一步安排非侵入性的影像學檢查包括血管都卜勒超音波、CT血管攝影(CTA)和核磁共振血管攝影(MRA),。最後是安排血管攝影做最明確的檢查。
分期:
臨床上使用Rutherford Classification來將病人疾病嚴重度分類 第1-3級是輕微,中度及嚴重的間歇性跛行,第4級是休息時也會疼痛,第5級是有慢性無法癒合傷口,第六級是組織壞死發黑。
治療特色
治療
下肢周邊血管阻塞疾病治療的目的有減輕症狀、肢體保存避免截肢及預防其它心血管疾病延長壽命三方面。治療的方式在疾病早期以使用藥物治療減輕病人間歇性跛行症狀及延緩血管阻塞的進行為主,常使用藥物有血管擴張劑普達錠(Pletaal,,學名cilostazol 50mg),抗血小板藥物如阿斯匹靈(aspirin 100mg),保拴通 (Plavix,學名clopidogrel 75mg)。如果疾病進行到血管管腔阻塞至管腔直徑達50%~60%以上,可能就需要介入性治療來疏通血管狹窄,傳統的方式是接受外科繞道手術治療,近年來因血管腔內手術治療的發展迅速,使用此方法來治療下肢周邊血管阻塞疾病的比例在歐美國家也快速增加。相對於外科繞道手術治療,使用經皮腔內血管成形術(PTA)和經皮血管內支架置入術的治療有傷口小(僅有血管穿刺針孔)復原快,不須全身麻醉等優點。對於合併有多重疾病不能接受手術的病人,經皮腔內血管成形術和經皮血管內支架置入術的治療也是唯一的選擇。所謂經皮腔內血管成形術是經由動脈的穿刺放入血管鞘,利用適合的導管及導絲穿過血管狹窄處,在導絲的引導下將氣球導管送至血管狹窄處,然後使用壓力槍將氣球導管打開,將血管狹窄處撐開,如果效果不理想,則可置放血管支架來打通血管。
治療特色
義大醫院心臟內科於近幾年發展此項治療, 以治療冠狀動脈的基礎,加上引進各種高科技的檢查及治療儀器,積極治療危急性肢體缺血病人,每年成功治癒300位以上之病患,使病患免於截肢之命運。近幾年來的成果也使義大醫院心臟內科成為台灣治療下肢周邊血管阻塞疾病的重鎮。
 
風險與合併症
注意事項:
以上提供之醫療諮詢只是通則,針對病人提供個人化醫療會依病人病情、年齡、體力、肝、腎功能等,作綜合判斷、建議從而安排妥善的治療計畫。
 
相關影片/照片
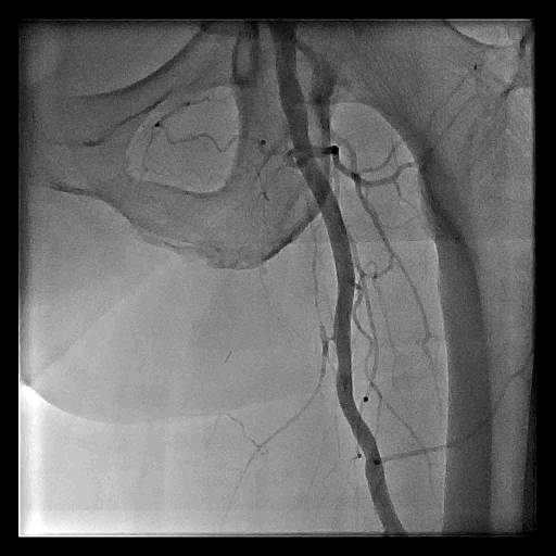
Figure 1. 淺股動脈的使用經皮腔內血管成形術治療
A. 右側淺股動脈慢性全閉塞

 
B. 氣球擴張術治療

C. 血管支架置放
.png)
 
D. 打通右側淺股動脈

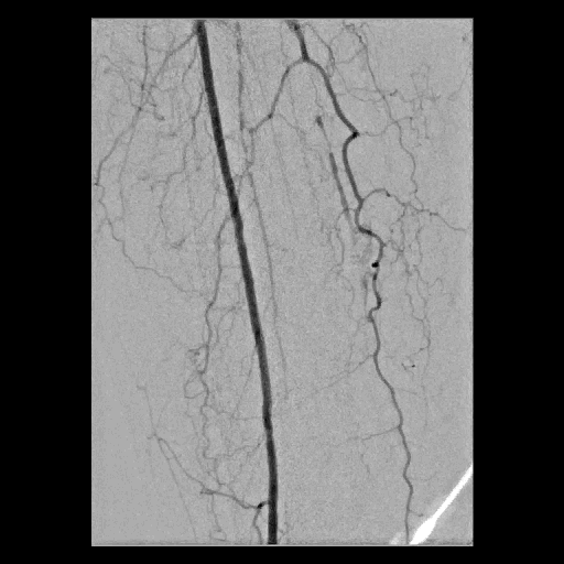
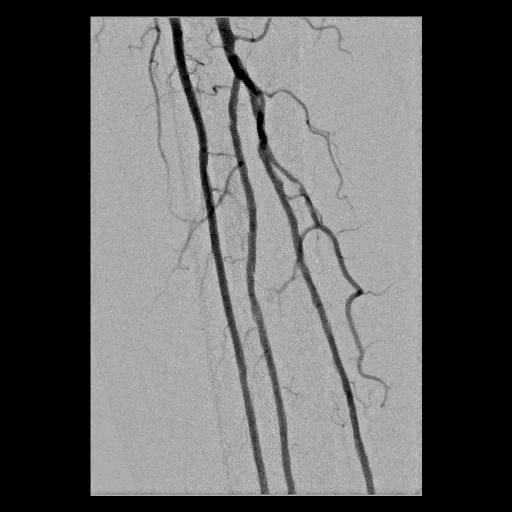
Figure 2.  左小腿血管的經皮腔內血管成形術治療
A. 左側膝蓋下血管多條阻塞 

 
B.經皮腔內血管成形術後,重建多條血管

備註 撰寫者: 曾維功醫師